人間ドック・各種健診
- 福西会病院
- ご来院の方
- 人間ドック・各種健診
- 脳ドック
脳ドック

脳卒中を予防する。
脳卒中は、発病してから治療しても後遺症が残ることの多い病気です。
最悪の場合は、寝たきり状態となり介護を必要とし、家族の負担が増加します。脳卒中は、未然に発病を防ぐことが最も大切です。そのためには、脳ドックを受けることをお薦めします。当院ではシーメンス社製1.5テスラ超電導MRI装置を用いて、脳の検査を行っています。
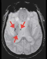
くも膜下出血の原因となる脳動脈瘤は、破裂前に発見することが可能です。小さな無症候性脳梗塞(いわゆる隠れ脳梗塞)や微小な脳内出血の痕跡も早期に発見することが可能ですので、今後の脳卒中予防の対策をとることが可能となります。
-

未破裂脳動脈瘤
(矢印)
-

微小脳出血
(矢印)
脳に血液を供給している頸動脈の精査も行います。MRIと超音波検査を併用して、頸動脈の動脈硬化の状態を判定します。MRI検査や超音波検査は放射線被爆がないことから、安全に実施できる検査です。その他に、血液検査、心電図などの一般的な検査もあわせて行います。脳ドックの結果判定とご説明は、脳卒中専門医(脳神経外科部長:不破 功)が担当いたします。
検査料金・検査項目
| 料金 | 36,670円(税込) |
|---|---|
| 問診 | 問診票にて症状などをお伺いいたします |
| 身体計測 | 身長、体重、肥満度、BMI |
| 生理学的検査 | 血圧測定、心電図検査、視力検査、聴力検査 |
| 超音波検査 | 頸動脈エコー |
| 画像検査 | 頭部MRI/MRA |
| 生化学的検査 | 総蛋白・アルブミン・BUN・クレアチニン・尿酸・総コレステロール・HDLコレステロール・LDLコレステロール・中性脂肪・AST・ALT・γ-GTP・血糖・HbA1c |
| 血液学的検査 | 赤血球・白血球・血色素・ヘマクトリット値・血小板数 |
お申し込み方法
受診日の予約が必要です。ご来院もしくは、お電話にてお申し込み下さい。
担当者より連絡させて頂きます。
TEL092-861-2780(代表)
(平日 9:00〜16:00)
FAX:092-861-2111(代表)
(平日 9:00〜16:00)
担当:原田
ご来院の方
人間ドック・各種健診
外来について
入院について
地域のみなさまへ
● 当院は、救急指定病院・開放型病院・在宅療養支援病院であり、DPC(診断群分類包括評価制度)を導入しております。
● 敷地内全面禁煙です。
























