放射線技術科
放射線技術科では、最先端の医療機器を駆使し多岐にわたる画像検査や透視下での治療など、診療画像を通じて患者さんに高度な医療の提供が出来るよう、日々努めています。診療放射線技師は、患者さんの放射線被ばくの低減を常に考えて検査を行い、診療に必要な画像を作成します。また、検査装置が常に正常に働くように整備・管理も行っています。
一般撮影検査
一般撮影とは、俗にいうレントゲン撮影のことです。X線を照射して胸やお腹、全身の骨などの透過像を撮影し、胸部(肺や心臓)の異常影、腹部の腸管ガス・結石など病気のおおまかな状態や骨折などを把握出来ます。当院では2018年12月からほぼ全てFPD(フラット・パネル・ディテクタ)システムで撮影を行い被ばくの低減に努めています。

FPDとは
フラット・パネル・ディテクタ(Flat Panel Detector) の略です。X線検出システムであるシンチレータと受光素子が一体化されたパネルで、生体を透過したX線を直接デジタル信号に変換出力することによってレントゲン写真を得 る装置です。従来の装置(CRシステム)と比べて、より高精細 な写真を得ることができるようになりました。
FPDの特徴
従来の装置システムと比べてX線感度が高いため、線量を減らしても十分な画像が得られることと、
画像処理技術の向上によりX線の照射線量を最大約40~50%低減可能となっています。
従来の装置では、撮影方向を変える度にカセッテと呼ばれる板を入れ変えなければならなかったのですが、FPDでは板を入れ変える必要性がほぼ無くなりました。これにより時間の短縮だけでなく、痛みを伴う部位の撮影時など身体への負担も軽減出来ます。また、直接画像データを出力するので撮影してから画像が見られるまでの時間も短くなったため、1人あたりにかかる撮影時間が全体で約25~30%も短縮されました。
注意していただきたいこと
下記のようなものがある場合、撮影部位によって取り外していただくか、脱いでいただくことになります。(検査着を用意していますのでご安心下さい)
- プラスチック類(ボタン等)
- 貴金属(ネックレス、ピアス等)
- メガネ、入れ歯
- ズボンのベルト、ファスナー
- カイロ、エレキバン、湿布 など

骨塩定量(骨密度)検査
骨の密度(強さ)を測定する検査を骨塩定量検査といいます。
骨の中にカルシウムなどのミネラルがどの程度あるかを測定して、若い人(20歳代)の骨密度の平均値と比べて自分の骨密度が何%であるかなど評価します。
当院では最新の骨密度測定装置(日立製作所製:ALPHYS LF)を導入しておりDXA法と呼ばれる方法で腰椎と大腿骨を測定します。二重X線吸収法(DXA法)は、骨に2種類のX線を当てて、骨を通過できなかったX線の量から骨密度を測定する方法で、信頼性が高いといわれています。また、腰椎は骨代謝が盛んな海綿骨の情報を 多く含んでいるため、その他の部位で測定を行うよりも骨量の変化を 顕著にとらえる事ができるため「骨粗鬆症の予防と治療ガイドライン」(日本骨粗鬆症学会 他 編集)では腰椎と大腿骨での検査・評価を推奨しています。
骨密度と骨粗鬆症
骨は一度できると変わらないイメージがありますが、常に古い骨を壊し、新しい骨を作っています。このバランスがくずれ、新しい骨が作られる量が少なくなると骨がスカスカになってしまいます。この状態を骨粗鬆症といいます。骨のバランスが崩れる原因は、加齢 ・ カルシウム不足・運動不足・閉経によるホルモン減少・過度なダイエット・食生活 などがあります。
定期的(年1・2回程度)に検査することで、生活習慣の見直し・治療の必要性や経過の確認 などを行う事が大切です。
骨粗鬆症になると
- 転んだだけで骨折する
- 身長が縮んでくる
- 背中や腰が曲がる
- 背中や腰の激しい痛み(骨折)で寝込んでしまう(寝たきりの原因第三位です)
予防・治療について
- 栄養バランス(特にカルシウムやビタミンDなど)のよい食事をとること
- 適度な運動=骨に適度な負荷のかかる運動(ジョギング・ウォーキング・階段昇降など)
※過度の負荷や激しい運動はかえって危険です。 - お薬による治療
などがあります。
検査方法


検査ベッドに仰向けに休んで検査を行います。動かないように寝ておくだけです。
レントゲン量は非常に少なく、安全です。
※ 仰向けが困難な方は検査出来ません。手術後の金属などがあると検査出来ない場合もあります。
検査日
特に指定はありませんので、ご希望の方は主治医または整形外科の外来担当医にご相談ください。
検査の予約は原則不要です。
※検査が込み合っている場合は後日となることもあります。
透視検査
X線を利用して、透視像を見ながら検査・治療を行います。主に造影剤を使用し、胃や大腸の撮影検査、内視鏡を併用して胆のうや膵臓の結石などを調べるERCPやその治療、関節の造影検査などがあります。その他にも骨の脱臼や骨折の整復も行っています。
注意していただきたいこと
X線を使って検査を行ないますので、撮影部位にある金属類、プラスチック類など、事前に取り除いていただき、検査着に着替えていただきます。また、検査前に食事の制限や薬の服用など、ご協力いただくことがあります。
血管造影検査
カテーテルという細い管を腕や太ももの付け根の血管から目的血管まで挿入し、造影剤を使用して撮影し必要に応じて治療まで行います。血管が狭くなったり、詰まったりしていないかなど血管自体、また血管が関与している疾患を詳しく調べ、必要があればIVRと呼ばれる血管撮影手技を応用した治療、例えば心臓の冠動脈に対するバルーン治療やステント挿入術・肝臓癌の血管塞栓術や動注療法などを行っています。


当院の血管造影撮影装置は、FPD(フラット・パネル・ディテクター)と呼ばれる検出器を搭載している為、従来より診断能力の高い鮮明な画像を提供する事が可能になりました。また、従来の装置は心血管のみが対象でしたが、腹部血管、下肢血管も造影の対象になりました。詳しい内容は医師へお気軽にお尋ね下さい。

CT検査
CTとは、ComputedTomography(コンピューター断層撮影)の略語です。X線を利用して、体内の情報を集め計算により人体の横断像 (輪切り)を撮影することが出来ます。検査時間は、検査の内容や部位によって異なりますが約5~20分程度の短時間ですみます。また、造影剤を使用することにより、あらゆる血管(脳・胸部・腹部・上下肢血管)や腫瘍などの撮影が可能となります。

さらに、CTで収集したデータを用い画像処理ワークステーションを使用して様々な方向の断層像や、骨や血管などの3D画像を作成することも可能です。(下記の心臓CT検査やCTコロノグラフィー検査もワークステーション処理によるものです)


2019年4月より当院は最新のCT装置を導入し、従来の装置と合せ2台運用とすることで救急医療にも更に迅速に・いつでも対応できるよう体制を整えています。
キャノンメディカルシステムズ(株)(旧:東芝メディカル)の80列マルチスライスCTスキャナでAquilion Prime SPという装置です。

キャノンメディカルシステムズ(株)(旧:東芝メディカル)の80列マルチスライスCTスキャナでAquilion Prime SPという装置です。
80列マルチスライスCTの特徴
- 1.
- これまでの装置と比べより高速に撮影出来るようになったので胸部や腹部の検査などで息を止める時間が短くなります。(胸部から全腹部で5~10秒程度、胸部だけなら2、3秒でも撮影可能です。)心臓の特殊な検査もわずか3心拍でも可能となっています。
- 2.
- X線の被ばく低減と画質向上の新技術として逐次近似法を用いたAIDR 3D Enhancedを搭載しており、被ばく量を減少しつつ(以前の装置に比べ30%以上の低減率)より高精度の画像を撮影することが可能となりました。
- 3.
- 検査台も広く、CTスキャナの口径も直径78cmと大きくなっており以前の装置よりも圧迫感が和らいでいます。検査台は33cmまで下がるので、年配の方にもやさしい仕様となっております。
- 4.
- 今回、3Dワークステーションも最新のZiostation2 PLUS ClassicHに更新いたしました。
これにより、以前よりも処理・解析時間が短縮され、画質も向上しています。 - 5.
- その他にも様々な新技術が搭載されており、短時間で高画質を実現しています。
心臓CT検査
当院のCTは、心臓の検査も可能です。造影剤(臓器や血管をよりわかりやすくする薬)を静脈から注射し、心臓の血管を描出して狭窄(狭くなっていないか)を見つけることができます。
CTコロノグラフィー検査
CTコロノグラフィー検査とは、CTを用いた大腸検査の総称です。拡張や鎮痙剤で腸管の蠕動運動の抑制を行い、注腸X線造影検査や大腸内視鏡と同様の前処置をしたうえで撮影し専用の大腸解析ソフトを用いて、様々な再構成画像を作成し評価します。

注意していただきたいこと
X線を使って検査を行ないますので、撮影部位にある金属類、プラスチック類など、事前に取り除いていただきます。また、検査前に食事の制限や薬の服用など、ご協力いただくことがあります。
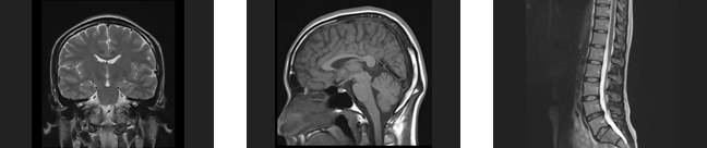
MRI検査
MRIとは、磁気共鳴断層画像診断装置(MagneticResonanceImaging)の略です。
X線検査やCT検査のようにX線を使わず、強力な磁石を埋め込んだトンネルの中に入り、電波を身体に当てることで体内の状態を断面像として撮影する事ができます。種々の撮像法の実用化により、コントラストのよい高精細な画像を比較的短時間に提供できるようになり、特に、脳・脊椎・四肢・骨盤腔(子宮、卵巣、前立腺)の病変に関しては、優れた検出能力を持っています。

CTとMRIの違い
CTはX線を、MRIは磁気を使って検査します。
それぞれ特徴がありどちらの検査を行うかは目的によって医師が選択します。
注意していただきたいこと
MRI検査を受けることが出来ない方(該当する方は、担当者に申し出て下さい)
MRI検査では、強い磁場と電波を使うので、下記に該当する方は検査を受けることが出来ません。
- 心臓ペースメーカーを使用している方
- 体内に電子電気部品を装着されている方
※ MRI 対応のペースメーカー装着の方は部位により、検査が可能な場合があります。
また、下記事項に該当する方は、検査を受けることが出来ない場合があります。
- 脳動脈瘤の手術を受け金属クリップを入れている方
- 金属製の人工心臓弁を入れている方
- その他の金属を体内に入れている方
- 妊娠している方
- 閉所恐怖症の方
- 刺青のある方(染料に金属が含まれる場合があります)
その他、注意していただきたいこと
- 化粧は控えて下さい(顔料に金属が含まれる場合があります)
- ヒートテックなどの防寒肌着は検査前に着替えていただきます
(体温が異常に上昇する可能性があります)
早期アルツハイマー型認知症診断システム(VSRAD)
当院では、早期アルツハイマー型認知症診断システム(VSRAD)を用いた検査が可能です。


【VSRAD】とは、頭部MRI検査で撮影された画像を用いて、アルツハイマー型認知症に特徴的に見られる海馬傍回付近の萎縮の形態画像情報を解析して、診断の支援情報を提供するものです。現在当院が使用している最新のVSRAD advance 2では、アルツハイマー型認知症(AD)とレビー小体型認知症(DLB)の鑑別診断を支援する参考指標が追加されました。 通常の頭部MRI検査と同時に撮影ができ、約7~8分の追加ですみます。
※ この検査だけで認知症の診断が確定するわけではありません。診察や他の検査結果との総合的な判断により診断されます。少しでも物忘れの心配がある方は神経内科医師にご相談下さい。
アルツハイマー型認知症の早期診断の詳細をPDFにてご覧いただけます。
診療科・部門
部門
診療科
専門外来
診療センター
● 当院は、救急指定病院・開放型病院・在宅療養支援病院であり、DPC(診断群分類包括評価制度)を導入しております。
● 敷地内全面禁煙です。
● 当院は、救急指定病院・開放型病院・在宅療養支援病院であり、DPC(診断群分類包括評価制度)を導入しております。
● 敷地内全面禁煙です。
























